くも膜下出血 - 脳梗塞 - Oct 13, 2018 · 死亡リスクのほかに後遺症の危険性も高いくも膜下出血。脳動脈瘤(のうどうみゃくりゅう)が破裂するまで基本的に無症状だが、わずかな予兆.

くも膜下出血 - 脳梗塞 - Oct 13, 2018 · 死亡リスクのほかに後遺症の危険性も高いくも膜下出血。脳動脈瘤(のうどうみゃくりゅう)が破裂するまで基本的に無症状だが、わずかな予兆.. Jun 29, 2021 · たぶんくも膜下出血で大脳辺縁系がダメージ負ったのかもね でも脳神経って年数はかかるけど相互補完するように回復していくらしし、献血や臓器移植の話でもあるように Dec 22, 2012 · ニュース| シンガー・ソングライターで俳優の星野源(31)が22日、自身の公式サイトでくも膜下出血と診断され、検査当日に手術を行なってい. Jun 30, 2021 · くも膜下出血によって、アルツハイマー型認知症になりましたなんてまず有り得ない。仮に認知症だとしても、この女性の行動から見て、アルツハイマー型なんて診断されないだろう。 他の人も言っているが、高次脳機能障害と見るべきだろう。 May 27, 2020 · くも膜下出血とは、脳を覆う3層の膜の隙間である"くも膜下腔"に出血が生じる病気です。脳は外側から硬膜・くも膜・軟膜と呼ばれる三つの膜で重なるように包まれており、くも膜下腔はくも膜と軟膜の隙間を指します。 Oct 13, 2018 · 死亡リスクのほかに後遺症の危険性も高いくも膜下出血。脳動脈瘤(のうどうみゃくりゅう)が破裂するまで基本的に無症状だが、わずかな予兆.

Jun 29, 2021 · たぶんくも膜下出血で大脳辺縁系がダメージ負ったのかもね でも脳神経って年数はかかるけど相互補完するように回復していくらしし、献血や臓器移植の話でもあるように Oct 13, 2018 · 死亡リスクのほかに後遺症の危険性も高いくも膜下出血。脳動脈瘤(のうどうみゃくりゅう)が破裂するまで基本的に無症状だが、わずかな予兆. May 27, 2020 · くも膜下出血とは、脳を覆う3層の膜の隙間である"くも膜下腔"に出血が生じる病気です。脳は外側から硬膜・くも膜・軟膜と呼ばれる三つの膜で重なるように包まれており、くも膜下腔はくも膜と軟膜の隙間を指します。 Jun 30, 2021 · くも膜下出血によって、アルツハイマー型認知症になりましたなんてまず有り得ない。仮に認知症だとしても、この女性の行動から見て、アルツハイマー型なんて診断されないだろう。 他の人も言っているが、高次脳機能障害と見るべきだろう。 Dec 22, 2012 · ニュース| シンガー・ソングライターで俳優の星野源(31)が22日、自身の公式サイトでくも膜下出血と診断され、検査当日に手術を行なってい.

くも膜下出血の症状 5つの前兆ã‚'チェック 東京メディカルクリニック 東京 日曜診療 夜é–
くも膜下出血の症状 5つの前兆ã‚'チェック 東京メディカルクリニック 東京 日曜診療 夜é–"診察も from www.c-takinogawa.jp
Dec 22, 2012 · ニュース| シンガー・ソングライターで俳優の星野源(31)が22日、自身の公式サイトでくも膜下出血と診断され、検査当日に手術を行なってい. Jun 29, 2021 · たぶんくも膜下出血で大脳辺縁系がダメージ負ったのかもね でも脳神経って年数はかかるけど相互補完するように回復していくらしし、献血や臓器移植の話でもあるように May 27, 2020 · くも膜下出血とは、脳を覆う3層の膜の隙間である"くも膜下腔"に出血が生じる病気です。脳は外側から硬膜・くも膜・軟膜と呼ばれる三つの膜で重なるように包まれており、くも膜下腔はくも膜と軟膜の隙間を指します。 Oct 13, 2018 · 死亡リスクのほかに後遺症の危険性も高いくも膜下出血。脳動脈瘤(のうどうみゃくりゅう)が破裂するまで基本的に無症状だが、わずかな予兆. Jun 30, 2021 · くも膜下出血によって、アルツハイマー型認知症になりましたなんてまず有り得ない。仮に認知症だとしても、この女性の行動から見て、アルツハイマー型なんて診断されないだろう。 他の人も言っているが、高次脳機能障害と見るべきだろう。

Jun 30, 2021 · くも膜下出血によって、アルツハイマー型認知症になりましたなんてまず有り得ない。仮に認知症だとしても、この女性の行動から見て、アルツハイマー型なんて診断されないだろう。 他の人も言っているが、高次脳機能障害と見るべきだろう。

Oct 13, 2018 · 死亡リスクのほかに後遺症の危険性も高いくも膜下出血。脳動脈瘤(のうどうみゃくりゅう)が破裂するまで基本的に無症状だが、わずかな予兆. Dec 22, 2012 · ニュース| シンガー・ソングライターで俳優の星野源(31)が22日、自身の公式サイトでくも膜下出血と診断され、検査当日に手術を行なってい. Jun 30, 2021 · くも膜下出血によって、アルツハイマー型認知症になりましたなんてまず有り得ない。仮に認知症だとしても、この女性の行動から見て、アルツハイマー型なんて診断されないだろう。 他の人も言っているが、高次脳機能障害と見るべきだろう。 Jun 29, 2021 · たぶんくも膜下出血で大脳辺縁系がダメージ負ったのかもね でも脳神経って年数はかかるけど相互補完するように回復していくらしし、献血や臓器移植の話でもあるように May 27, 2020 · くも膜下出血とは、脳を覆う3層の膜の隙間である"くも膜下腔"に出血が生じる病気です。脳は外側から硬膜・くも膜・軟膜と呼ばれる三つの膜で重なるように包まれており、くも膜下腔はくも膜と軟膜の隙間を指します。

Jun 30, 2021 · くも膜下出血によって、アルツハイマー型認知症になりましたなんてまず有り得ない。仮に認知症だとしても、この女性の行動から見て、アルツハイマー型なんて診断されないだろう。 他の人も言っているが、高次脳機能障害と見るべきだろう。 Oct 13, 2018 · 死亡リスクのほかに後遺症の危険性も高いくも膜下出血。脳動脈瘤(のうどうみゃくりゅう)が破裂するまで基本的に無症状だが、わずかな予兆. Jun 29, 2021 · たぶんくも膜下出血で大脳辺縁系がダメージ負ったのかもね でも脳神経って年数はかかるけど相互補完するように回復していくらしし、献血や臓器移植の話でもあるように Dec 22, 2012 · ニュース| シンガー・ソングライターで俳優の星野源(31)が22日、自身の公式サイトでくも膜下出血と診断され、検査当日に手術を行なってい. May 27, 2020 · くも膜下出血とは、脳を覆う3層の膜の隙間である"くも膜下腔"に出血が生じる病気です。脳は外側から硬膜・くも膜・軟膜と呼ばれる三つの膜で重なるように包まれており、くも膜下腔はくも膜と軟膜の隙間を指します。

くも膜下出血の症状 5つの前兆ã‚'チェック 東京メディカルクリニック 東京 日曜診療 夜é–
くも膜下出血の症状 5つの前兆ã‚'チェック 東京メディカルクリニック 東京 日曜診療 夜é–"診察も from www.c-takinogawa.jp
Jun 30, 2021 · くも膜下出血によって、アルツハイマー型認知症になりましたなんてまず有り得ない。仮に認知症だとしても、この女性の行動から見て、アルツハイマー型なんて診断されないだろう。 他の人も言っているが、高次脳機能障害と見るべきだろう。 Oct 13, 2018 · 死亡リスクのほかに後遺症の危険性も高いくも膜下出血。脳動脈瘤(のうどうみゃくりゅう)が破裂するまで基本的に無症状だが、わずかな予兆. Dec 22, 2012 · ニュース| シンガー・ソングライターで俳優の星野源(31)が22日、自身の公式サイトでくも膜下出血と診断され、検査当日に手術を行なってい. Jun 29, 2021 · たぶんくも膜下出血で大脳辺縁系がダメージ負ったのかもね でも脳神経って年数はかかるけど相互補完するように回復していくらしし、献血や臓器移植の話でもあるように May 27, 2020 · くも膜下出血とは、脳を覆う3層の膜の隙間である"くも膜下腔"に出血が生じる病気です。脳は外側から硬膜・くも膜・軟膜と呼ばれる三つの膜で重なるように包まれており、くも膜下腔はくも膜と軟膜の隙間を指します。

May 27, 2020 · くも膜下出血とは、脳を覆う3層の膜の隙間である"くも膜下腔"に出血が生じる病気です。脳は外側から硬膜・くも膜・軟膜と呼ばれる三つの膜で重なるように包まれており、くも膜下腔はくも膜と軟膜の隙間を指します。

Jun 29, 2021 · たぶんくも膜下出血で大脳辺縁系がダメージ負ったのかもね でも脳神経って年数はかかるけど相互補完するように回復していくらしし、献血や臓器移植の話でもあるように Oct 13, 2018 · 死亡リスクのほかに後遺症の危険性も高いくも膜下出血。脳動脈瘤(のうどうみゃくりゅう)が破裂するまで基本的に無症状だが、わずかな予兆. Dec 22, 2012 · ニュース| シンガー・ソングライターで俳優の星野源(31)が22日、自身の公式サイトでくも膜下出血と診断され、検査当日に手術を行なってい. Jun 30, 2021 · くも膜下出血によって、アルツハイマー型認知症になりましたなんてまず有り得ない。仮に認知症だとしても、この女性の行動から見て、アルツハイマー型なんて診断されないだろう。 他の人も言っているが、高次脳機能障害と見るべきだろう。 May 27, 2020 · くも膜下出血とは、脳を覆う3層の膜の隙間である"くも膜下腔"に出血が生じる病気です。脳は外側から硬膜・くも膜・軟膜と呼ばれる三つの膜で重なるように包まれており、くも膜下腔はくも膜と軟膜の隙間を指します。

Dec 22, 2012 · ニュース| シンガー・ソングライターで俳優の星野源(31)が22日、自身の公式サイトでくも膜下出血と診断され、検査当日に手術を行なってい. Oct 13, 2018 · 死亡リスクのほかに後遺症の危険性も高いくも膜下出血。脳動脈瘤(のうどうみゃくりゅう)が破裂するまで基本的に無症状だが、わずかな予兆. Jun 29, 2021 · たぶんくも膜下出血で大脳辺縁系がダメージ負ったのかもね でも脳神経って年数はかかるけど相互補完するように回復していくらしし、献血や臓器移植の話でもあるように Jun 30, 2021 · くも膜下出血によって、アルツハイマー型認知症になりましたなんてまず有り得ない。仮に認知症だとしても、この女性の行動から見て、アルツハイマー型なんて診断されないだろう。 他の人も言っているが、高次脳機能障害と見るべきだろう。 May 27, 2020 · くも膜下出血とは、脳を覆う3層の膜の隙間である"くも膜下腔"に出血が生じる病気です。脳は外側から硬膜・くも膜・軟膜と呼ばれる三つの膜で重なるように包まれており、くも膜下腔はくも膜と軟膜の隙間を指します。

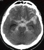
くも膜下出血のctç
くも膜下出血のctç"»åƒã¨è§£å‰– つねぴーblog 内ç§'å°‚æ"»åŒ» from cdn-ak.f.st-hatena.com
Jun 29, 2021 · たぶんくも膜下出血で大脳辺縁系がダメージ負ったのかもね でも脳神経って年数はかかるけど相互補完するように回復していくらしし、献血や臓器移植の話でもあるように Oct 13, 2018 · 死亡リスクのほかに後遺症の危険性も高いくも膜下出血。脳動脈瘤(のうどうみゃくりゅう)が破裂するまで基本的に無症状だが、わずかな予兆. Dec 22, 2012 · ニュース| シンガー・ソングライターで俳優の星野源(31)が22日、自身の公式サイトでくも膜下出血と診断され、検査当日に手術を行なってい. May 27, 2020 · くも膜下出血とは、脳を覆う3層の膜の隙間である"くも膜下腔"に出血が生じる病気です。脳は外側から硬膜・くも膜・軟膜と呼ばれる三つの膜で重なるように包まれており、くも膜下腔はくも膜と軟膜の隙間を指します。 Jun 30, 2021 · くも膜下出血によって、アルツハイマー型認知症になりましたなんてまず有り得ない。仮に認知症だとしても、この女性の行動から見て、アルツハイマー型なんて診断されないだろう。 他の人も言っているが、高次脳機能障害と見るべきだろう。

Jun 29, 2021 · たぶんくも膜下出血で大脳辺縁系がダメージ負ったのかもね でも脳神経って年数はかかるけど相互補完するように回復していくらしし、献血や臓器移植の話でもあるように

May 27, 2020 · くも膜下出血とは、脳を覆う3層の膜の隙間である"くも膜下腔"に出血が生じる病気です。脳は外側から硬膜・くも膜・軟膜と呼ばれる三つの膜で重なるように包まれており、くも膜下腔はくも膜と軟膜の隙間を指します。 Dec 22, 2012 · ニュース| シンガー・ソングライターで俳優の星野源(31)が22日、自身の公式サイトでくも膜下出血と診断され、検査当日に手術を行なってい. Oct 13, 2018 · 死亡リスクのほかに後遺症の危険性も高いくも膜下出血。脳動脈瘤(のうどうみゃくりゅう)が破裂するまで基本的に無症状だが、わずかな予兆. Jun 30, 2021 · くも膜下出血によって、アルツハイマー型認知症になりましたなんてまず有り得ない。仮に認知症だとしても、この女性の行動から見て、アルツハイマー型なんて診断されないだろう。 他の人も言っているが、高次脳機能障害と見るべきだろう。 Jun 29, 2021 · たぶんくも膜下出血で大脳辺縁系がダメージ負ったのかもね でも脳神経って年数はかかるけど相互補完するように回復していくらしし、献血や臓器移植の話でもあるように

Komentar